Proyecto editorial sobre la temática: “Políticas públicas e insumos agropecuarios en América Latina. Innovaciones, regulaciones y desafíos”
Estimada comunidad, Junto con saludar, trasmito el mail de nuestra aliada de más abajo. Para todos quienes investigan y realizan […]
OBITUARIO: Dr. en Ciencias Biológicas Alejandro Herrera Moreno
El Dr. en Ciencias Biológicas, Alejandro Herrera Moreno, cubano-dominicano, destacado científico en los campos de la biología marina, querido compañero […]
Imagen de la portada de la newsletter ¿Es momento de cambiar de empleo? 7 Señales para saber si necesitas un cambio
Carolina Torres Intriago El trabajo ocupa una parte significativa de nuestra vida, y cuando deja de ser un espacio de […]
Revista el Acuicultor, Enero 2025 – Vol. 5 – No. 1
Editorial: SOSTENIBILIDAD EN ACUICULTURA La Sostenibilidad es un concepto harto conocido, del cual oímos constantemente en los diversos medios existentes. […]
Políticas públicas e insumos agropecuarios en América latina. Innovaciones, regulaciones y desafíos»
Estimada Comunidad, Junto con saludar, les comparto esta oportunidad para los investigadores de esta comunidad. Temática: “Políticas públicas e insumos agropecuarios en […]
Boletín mensual | Financiamiento, biodiversidad y acción climática Programa ONU Medio Ambiente América Latina y el Caribe
En febrero, destacamos avances clave en financiamiento para la biodiversidad, gestión de residuos, sistemas alimentarios y reducción del riesgo de desastres. […]
DE INTERÉS
Normas Editoriales
Obtenga las Normas Editoriales para la elaboración de la Revista Electrónica El Bohío
Revista Electrónica
“El Bohío”
Descargue en esta sección nuestra última edición de la Revista Electrónica “El Bohío”
Testimonios
Relatos y vivencias contadas por personas, de sus experiencias pasadas en momentos cruciales de sus vidas
Colecciones Digitales
Contiene materiales, que abordan temas relacionados con el conocimiento, manejo y uso de los componentes del Medio Ambiente
THINK INVENT INNOVATE with PG Diploma in Innovation & Design Thinking
Why is the PG Diploma in Innovation & Design Thinking right for you? From governments and […]
Living Planet Fellowship new call for proposals Invitations to Tender, Scientists December 30, 2020
JAN22 ESA Coastal Erosion webinar 2020 Workshops MAR22 11th ESA Training Course on Earth Observation […]
El Bohío Boletín Electrónico, Vol. 11, No. 1, enero de 2021.
Estimadas y Estimados ¡Con la alegría de iniciar el año 2021, les enviamos nuestros saludos más […]
X Foro Iberoamericano de los Recursos Marinos y la Acuicultura – X FIRMA 2021
Visto: 125 Entre la semana del 7 al 21 de febrero del 2021 se llevará realizara […]
WORLD AQUACULTURE 2021
WORLD AQUACULTURE VISITS MEXICO The World Aquaculture Society is the organization of professionals in the most […]
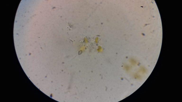
INIDEP detecta la presencia de una floración algal en las aguas de la zona norte de Mar del Plata
A partir del análisis de muestras de agua de mar tomadas en la zona norte de […]


























